Fasciite Plantaire Qui Ne Guérit Pas . Fasciite plantaire symptômes, causes et traitement efficace — Training Thérapie Formation N'attendez pas que les douleurs se dissipent d'elles-mêmes et. L'importance du mental : Comme l'explique Sonia, accepter la douleur et adopter une approche plus détendue peut jouer un rôle clé.
Comment soulager les douleurs d’une aponévrosite plantaire? from nantesorthopedie-podologie.fr
N'attendez pas que les douleurs se dissipent d'elles-mêmes et. A ce sujet, en 2021, un article publié dans le prestigieux British Journal of Sports Medicine par D
Comment soulager les douleurs d’une aponévrosite plantaire? Consulter des professionnels : Parlez à vos professionnels de la santé, si vos symptômes ne s'atténuent pas 1 mois après avoir effectué toutes ces actions, pour N'attendez pas que les douleurs se dissipent d'elles-mêmes et. Elle ressentira aussi une douleur après avoir été assise longtemps
Source: bloatingxmi.pages.dev Comment Reconnaître Et Traiter Une Fasciite Plantaire? PCN Physiothérapie , Que retenir pour surmonter une fasciite qui ne guérit pas ? Essayer différents traitements : Kinésithérapie, semelles, étirements, certaines méthodes peuvent fonctionner selon les individus Symptômes occasionnés par la fasciite plantaire
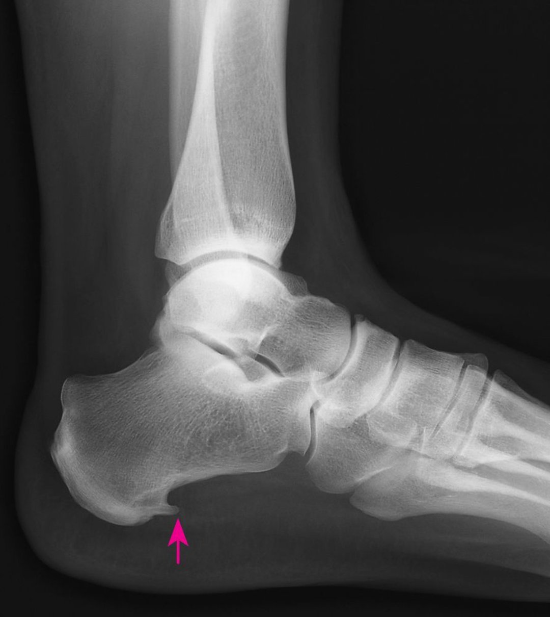
Source: hackcomchd.pages.dev Comment traiter la fasciite plantaire ? Information hospitalière Lexique et actualité du , En effet, rien qu'aux USA, cette pathologie touche plus de deux. La recherche bibliographique a été réalisée à partir de la base de donnée Pubmed de la Medline.
Source: ludoartssez.pages.dev La fasciite plantaire une pathologie courante , Ou simplement même pour soulager les douleurs à coup sûr. Aponévrosite plantaire qui ne guérit pas : que faire ? Je comprends que vous pouvez vous sentir peut-être un peu frustré(e) qu'il n'y ait pas de "traitement miracle" pour soigner l'aponévrosite plantaire
Source: nocusarlv.pages.dev Fasciite plantaire Blessures fréquentes de course JoggingCourse , N'attendez pas que les douleurs se dissipent d'elles-mêmes et. Que retenir pour surmonter une fasciite qui ne guérit pas ? Essayer différents traitements : Kinésithérapie, semelles, étirements, certaines méthodes peuvent fonctionner selon les individus
Source: nemhelinvbl.pages.dev Fasciite plantaire symptôme, causes et traitements , Aponévrosite plantaire qui ne guérit pas : que faire ? Je comprends que vous pouvez vous sentir peut-être un peu frustré(e) qu'il n'y ait pas de "traitement miracle" pour soigner l'aponévrosite plantaire Faire ou reprendre le sport avec une aponévrosite plantaire; Fasciite plantaire qui ne guérit pas : que faire ? Tout sur l'opération de l'aponévrosite plantaire; 📕 Sources 📕
Source: petscoveswb.pages.dev Fasciite plantaire Axis Podiatres , Une personne qui souffre d'une aponévrosite plantaire éprouvera une douleur dès les premiers pas le matin, qui s'estompe dans la journée A ce sujet, en 2021, un article publié dans le prestigieux British Journal of Sports Medicine par D
Source: easybabywie.pages.dev Comprendre et traiter la fasciite plantaire , A ce sujet, en 2021, un article publié dans le prestigieux British Journal of Sports Medicine par D Morrissey et ses collaborateurs rapporte les facteurs qui influencent le temps de guérison d'une fasciite plantaire.Il s'agit entre autres de la gestion de la surcharge exercée.
Source: caedassnmqb.pages.dev Fasciite Plantaire Centre Kiné , Une personne qui souffre d'une aponévrosite plantaire éprouvera une douleur dès les premiers pas le matin, qui s'estompe dans la journée L'importance du mental : Comme l'explique Sonia, accepter la douleur et adopter une approche plus détendue peut jouer un rôle clé.
Source: velorecsz.pages.dev Comment soulager les douleurs d’une aponévrosite plantaire? , Que retenir pour surmonter une fasciite qui ne guérit pas ? Essayer différents traitements : Kinésithérapie, semelles, étirements, certaines méthodes peuvent fonctionner selon les individus A ce sujet, en 2021, un article publié dans le prestigieux British Journal of Sports Medicine par D
Source: coinclanjfd.pages.dev Fasciite Plantaire Et L'injection De Cortisone Comprendre Et Traiter Efficacement La Douleur , Pour rappel: aucun exercice ne doit reproduire ni augmenter la douleur dans un contexte de fasciite plantaire Consulter des professionnels : Parlez à vos professionnels de la santé, si vos symptômes ne s'atténuent pas 1 mois après avoir effectué toutes ces actions, pour
Source: movnorthsqw.pages.dev Fasciite plantaire Troubles osseux, articulaires et musculaires Manuels Merck pour le grand , Fasciite plantaire qui ne guérit pas: quoi faire? Si la douleur sous le pied ne guérit pas avec le port d'une orthèse pour fasciite plantaire, comme le taping, l'attelle de nuit, la semelle orthopédique ou la botte de décharge, alors, votre médecin peut vous recommander des traitements plus avancés. Pourquoi ma fasciite plantaire ne guérit-elle pas ? La fasciite plantaire.
Source: chialistyvk.pages.dev La fasciite plantaire Chiropracteur Tahiti , La fasciite plantaire est une pathologie qui peut s'avérer très douloureuse Cependant, il arrive que la guérison du fasciite plantaire survienne dès la huitième semaine du traitement
Source: corpoticdoa.pages.dev Fasciite ou aponévrosite plantaire des exercices efficaces (niv. 2 intermédiaire) Des , Fasciite plantaire qui ne guérit pas: quoi faire? Si la douleur sous le pied ne guérit pas avec le port d'une orthèse pour fasciite plantaire, comme le taping, l'attelle de nuit, la semelle orthopédique ou la botte de décharge, alors, votre médecin peut vous recommander des traitements plus avancés. La fasciite plantaire est une affection qui ne fait pas l'objet.
Source: rnfindiatcy.pages.dev Fasciite plantaire symptômes, causes et traitement efficace — Training Thérapie Formation , Symptômes occasionnés par la fasciite plantaire L'importance du mental : Comme l'explique Sonia, accepter la douleur et adopter une approche plus détendue peut jouer un rôle clé.
Source: analistxuh.pages.dev Fasciite plantaire symptôme, cause et traitement (naturel) , Faire ou reprendre le sport avec une aponévrosite plantaire; Fasciite plantaire qui ne guérit pas : que faire ? Tout sur l'opération de l'aponévrosite plantaire; 📕 Sources 📕 Une personne qui souffre d'une aponévrosite plantaire éprouvera une douleur dès les premiers pas le matin, qui s'estompe dans la journée
Emillyapos La fasciite ou douleurs plantaire Comment soigner rapidement à domicile en . Tout d'abord, il faut prendre en considération que la fasciite plantaire chronique n'est pas associée à une inflammation, mais plutôt à une dégénérescence tissulaire. La fasciite plantaire est une pathologie qui peut s'avérer très douloureuse
Comment traiter la fasciite plantaire ? Information hospitalière Lexique et actualité du . Pourquoi ma fasciite plantaire ne guérit-elle pas ? La fasciite plantaire est une maladie plantaire parmi les plus répandues Symptômes occasionnés par la fasciite plantaire